PROGETTIAMO - REALIZZIAMO - RIFINIAMO
Processi rigorosi e materiali certificati per risultati che durano nel tempo.
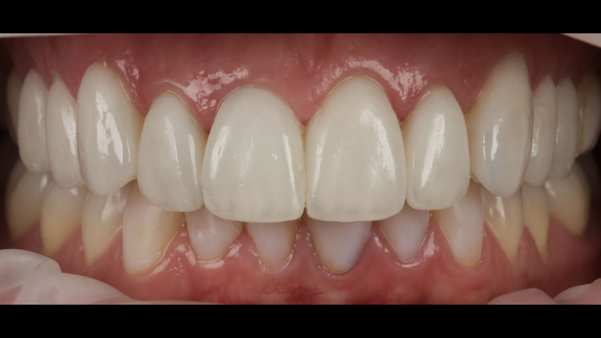
Dal calco al sorriso perfetto, passo dopo passo.
Il laboratorio odontotecnico Riccomini & Galli è il luogo in cui competenza tecnica, esperienza artigianale e innovazione tecnologica si incontrano.
Ogni protesi dentale nasce da un percorso strutturato e attento: dalla prima impronta fino al risultato finale, ogni fase è curata nei minimi dettagli per garantire comfort, funzionalità ed estetica.


Responsabile Laboratorio
Carlo Riccomini
Guida il laboratorio odontotecnico con visione strategica e profonda conoscenza del settore, garantendo qualità, innovazione e coordinamento tra tutti i reparti.
Supervisiona i processi produttivi, organizzativi e gestionali, assicurando l’efficienza operativa e la conformità agli standard tecnici e normativi.
Responsabile Reparto Produzione
Andrea Galli
Coordina il reparto produzione garantendo elevati standard qualitativi e rispetto dei tempi di consegna.
Supervisiona ogni fase del processo produttivo, assicurando la corretta esecuzione dei protocolli tecnici e la piena integrazione tra le diverse aree operative del laboratorio.


Responsabile Estetica
Emanuele Riccomini
Coordina il reparto estetica del laboratorio con competenza, precisione e sensibilità artistica.
La sua attività si concentra sulla progettazione e realizzazione di soluzioni protesiche altamente estetiche, dove tecnologia e manualità si fondono per restituire armonia e naturalezza al sorriso.
Responsabile Reparto CAD/CAM
Luigi Accardo
Il punto di riferimento del reparto CAD/CAM, dove tecnologia digitale e competenza odontotecnica si incontrano per garantire precisione e innovazione.
Coordina la progettazione e la produzione digitale di protesi dentarie, assicurando l’accuratezza dei flussi di lavoro e la perfetta integrazione tra le fasi di scansione, modellazione e fresatura.


Responsabile Amministrazione
Elisabetta Panelli
Gestisce con competenza e precisione l’area amministrativa del laboratorio, garantendo ordine, trasparenza e controllo in ogni processo gestionale.
Coordina le attività contabili, fiscali e di bilancio, assicurando la corretta gestione economica e finanziaria dell’azienda.
Responsabile Logistica
Sara Suli
Coordina l’intero flusso logistico del laboratorio, garantendo efficienza, puntualità e precisione nella gestione dei materiali e delle consegne.
Supervisiona l’approvvigionamento delle materie prime, il controllo delle giacenze e l’organizzazione delle spedizioni, assicurando continuità ai processi produttivi.


